Cas 1 : Fanny – Classe II division 1
Fanny présentait une malocclusion de Classe II division 1, caractérisée par un encombrement dentaire au niveau des arcades maxillaire et mandibulaire.
Un peu d’histoire pour y voir plus clair :
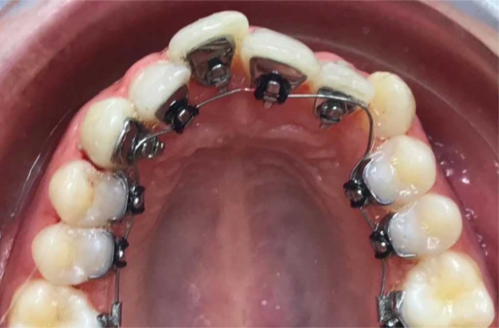
Dans les années 1970, 2 orthodontistes japonais C. Kurtz et K. Fujita ont positionné des attaches orthodontiques externes sur la face linguale des dents. Puis, dans les années 1980, la « lingual task force », créée par C. Kurtz et J. Gorman, a conçu des attaches spécifiques à l’orthodontie linguale dont l’évolution progressive a abouti aux attaches linguales modernes. D. Wiechmann en 1998 a développé une technique totalement individualisée d’une grande précision qui se caractérise par :

L’appareil WIN a été introduit en 1998 par Wiechmann. Il est fondé sur les techniques :
Cet appareil fournit des résultats très prédictibles. Certaines particularités ont été incorporées afin de faciliter le traitement des adolescents. C’est la technique la plus récente, totalement individualisée, optimisée et fiable.
L’amélioration des techniques linguales est directement liée à la position des attaches :
Comme le dit Pierre Canal, cet appareil permet de repousser les limites de l’orthodontie. Les traitements vont être plus rapides et plus efficaces avec moins d’effets parasites, donc plus stables.
Ensemble d’éléments métalliques ou céramo-métalliques = attaches ou bracketts, collés sur la face interne des dents de la mâchoire inférieure, reliés par un arc = fil métallique qui provoque le mouvement des dents.
L’appareil est fixe pendant la durée du traitement.
Des visites régulières chez le praticien permettent l’activation de l’appareil et donc le mouvement des dents pour obtenir leur alignement parfait.
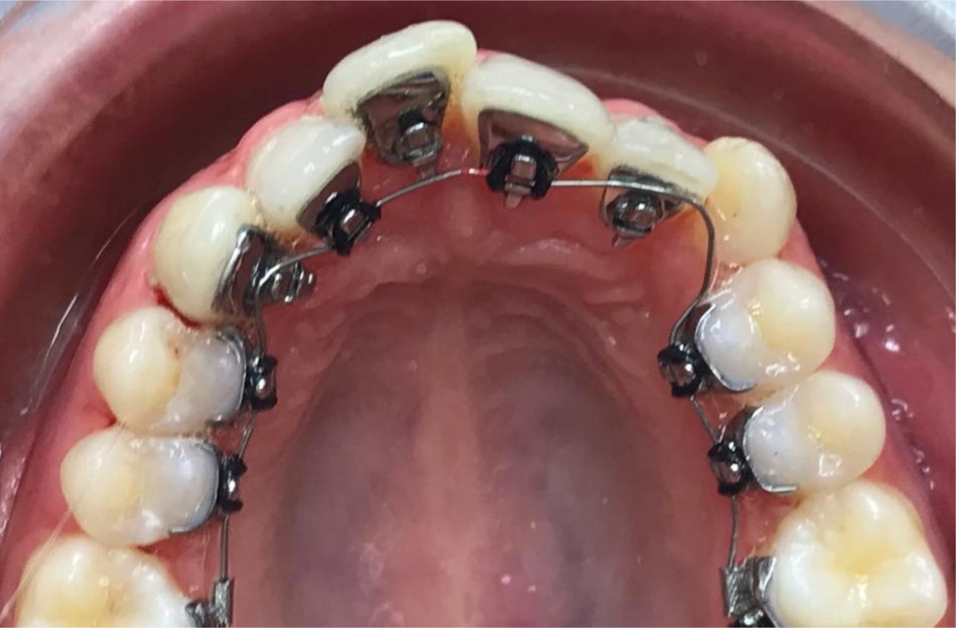
Ensemble d’éléments métalliques ou céramo-métalliques = attaches ou bracketts, collés sur la face interne des dents de la mâchoire supérieure, reliés par un arc = fil métallique qui provoque le mouvement des dents.
L’appareil est fixe pendant la durée du traitement.
Des visites régulières chez le praticien permettent l’activation de l’appareil et donc le mouvement des dents pour obtenir leur alignement parfait.
Ensemble d’éléments métalliques ou céramo-métalliques = attaches ou bracketts, collés sur la face externe des dents de la mâchoire inférieure, reliés par un arc = fil métallique qui provoque le mouvement des dents.
L’appareil est fixe pendant la durée du traitement.
Des visites régulières chez le praticien permettent l’activation de l’appareil et donc le mouvement des dents pour obtenir leur alignement parfait.
Ensemble d’éléments métalliques ou céramo-métalliques = attaches ou bracketts, collés sur la face externe des dents de la mâchoire supérieure, reliés par un arc = fil métallique qui provoque le mouvement des dents.
L’appareil est fixe pendant la durée du traitement.
Des visites régulières chez le praticien permettent l’activation de l’appareil et donc le mouvement des dents pour obtenir leur alignement parfait.
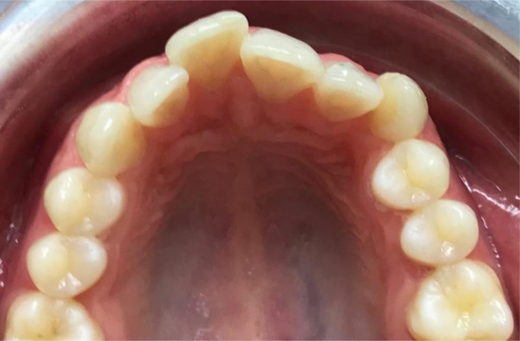
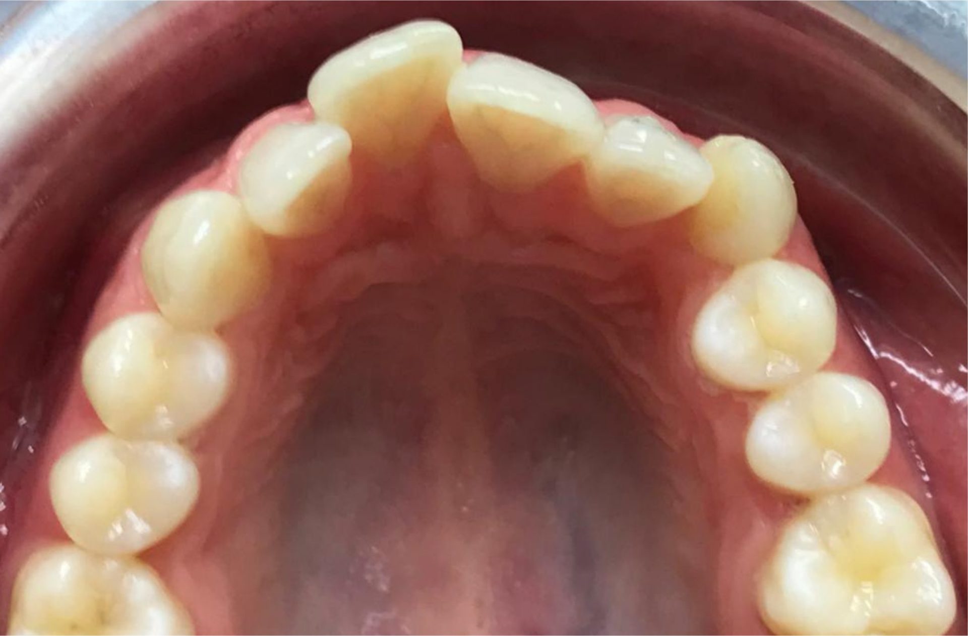
Fanny présentait une malocclusion de Classe II division 1, caractérisée par un encombrement dentaire au niveau des arcades maxillaire et mandibulaire.
Encombrement et malpositions des dents relativement importants. Les arcades dentaires sont étroites, avec peu de volume.