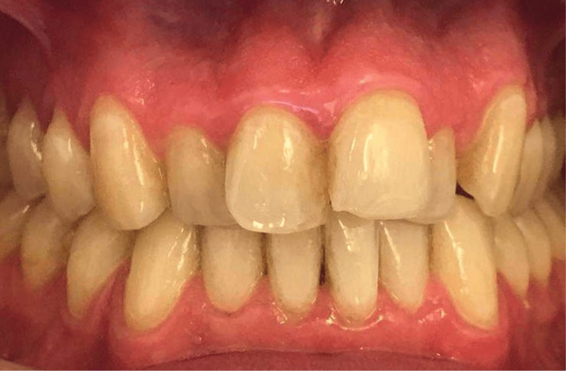
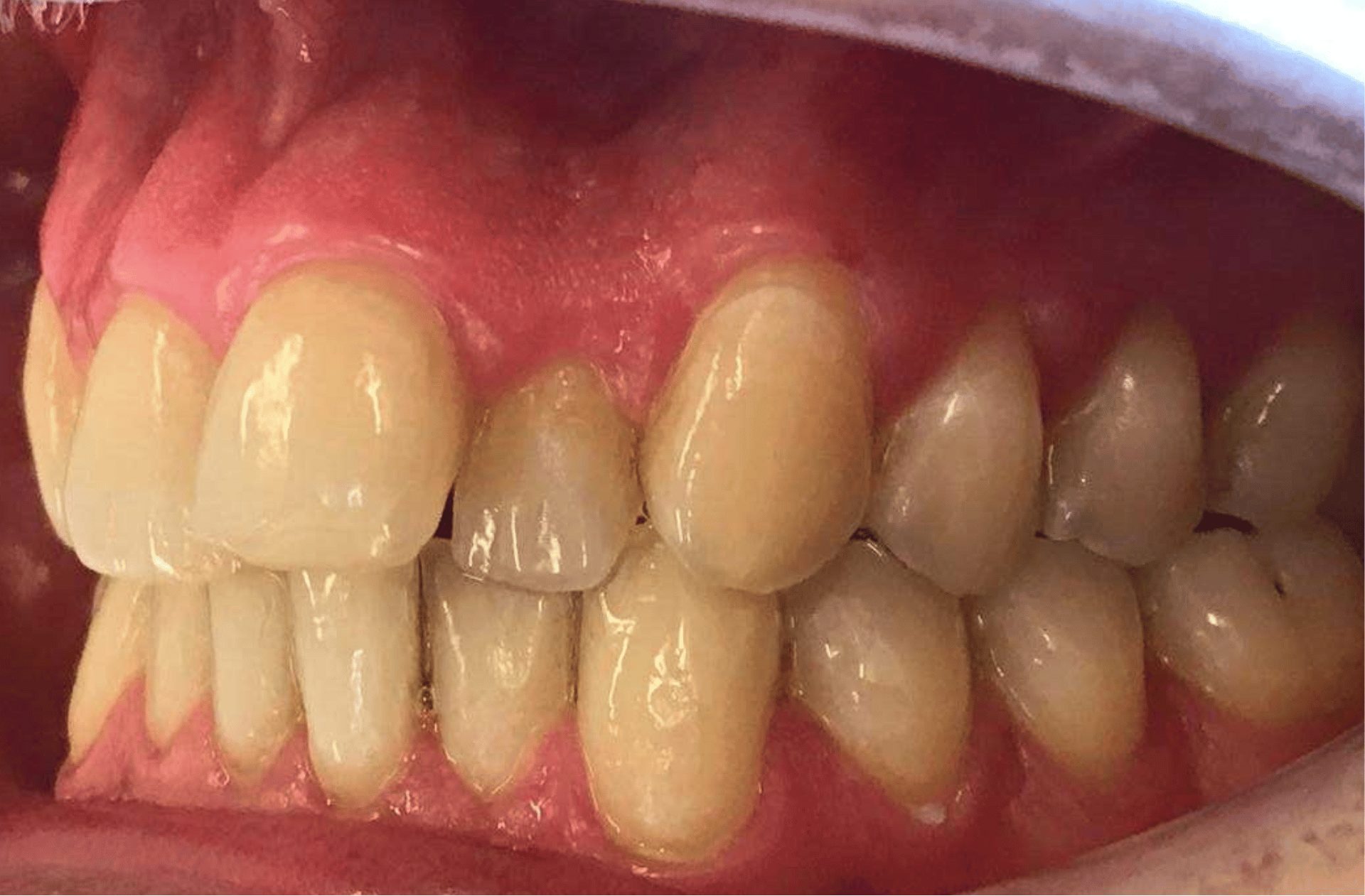
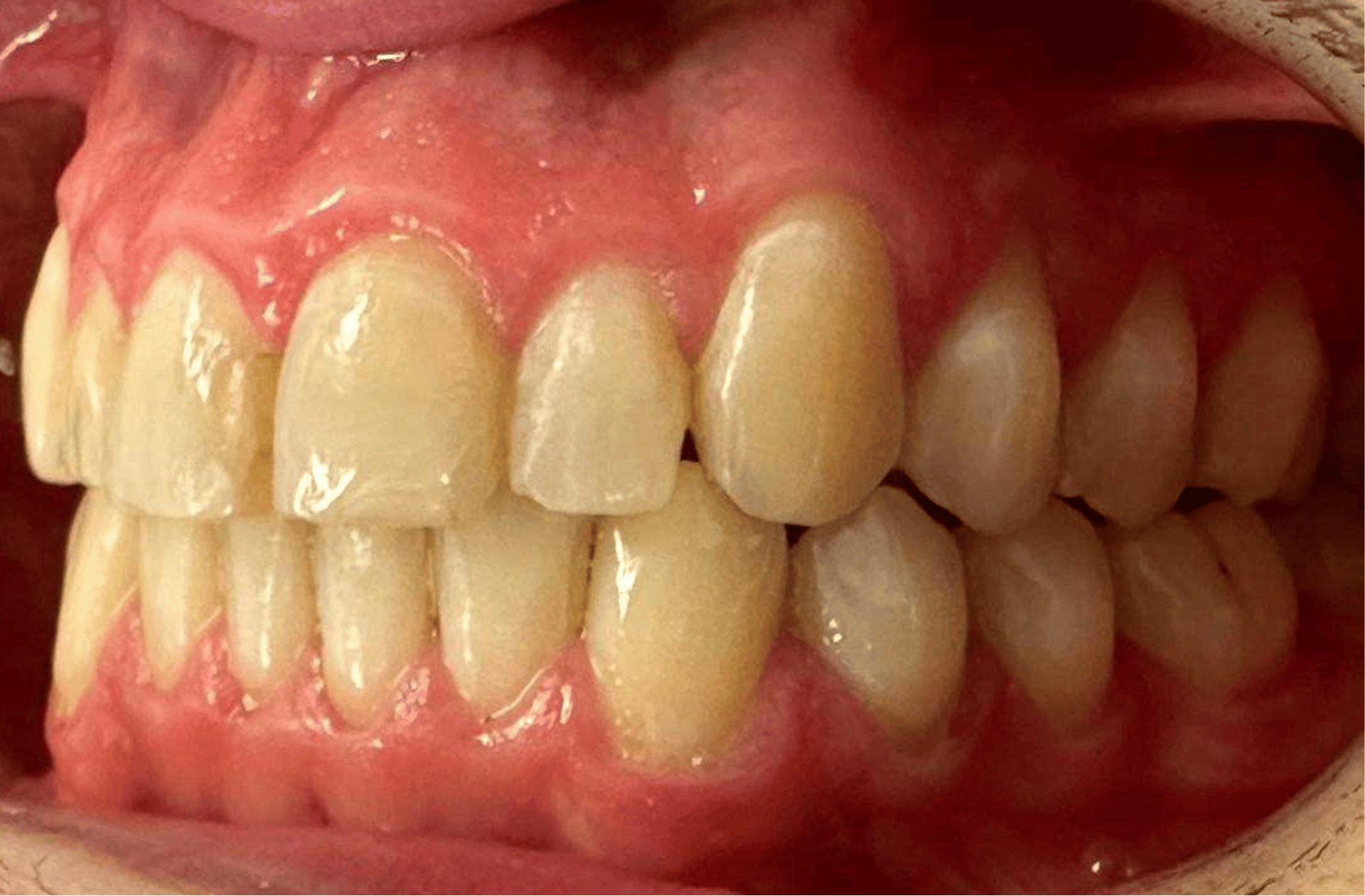
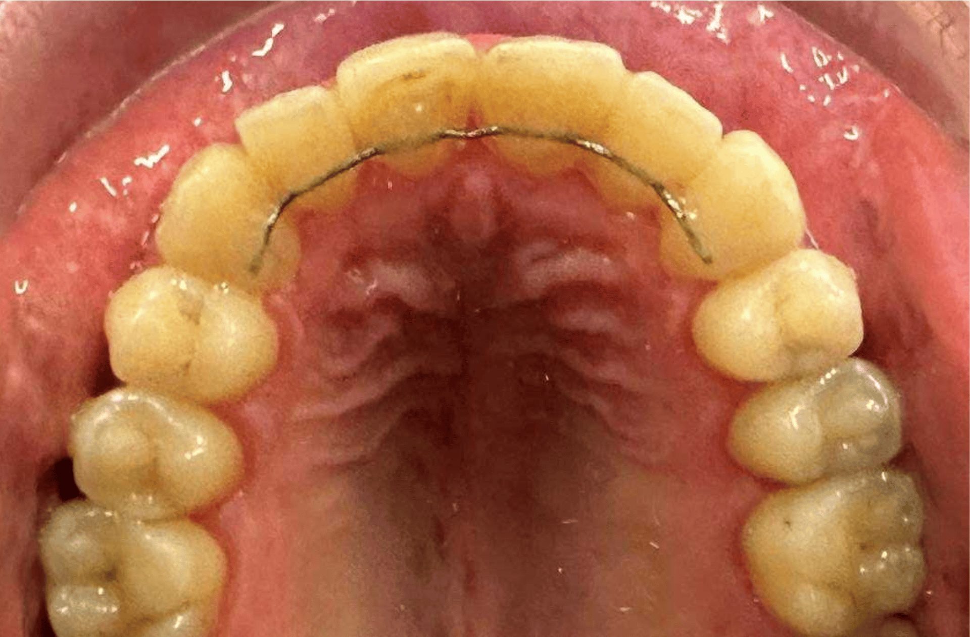
Cas 2 : Billy M.
Ce cas illustre parfaitement l’impact de l’orthodontie au-delà de l’alignement dentaire.
Avant traitement Les dents présentaient un encombrement important et des malpositions marquées. Les arcades dentaires étaient étroites, avec un manque de volume. Résultat : un soutien insuffisant des tissus du visage, donnant une impression de visage plus contracté et moins harmonieux.
Après traitement L’alignement a été réalisé par expansion des arcades dentaires, sans extraction. Les dents ont retrouvé un axe physiologique, légèrement orienté vers l’extérieur. Cette correction a permis une augmentation du volume des arcades, améliorant naturellement le soutien du visage, désormais plus équilibré, plus ouvert et visiblement plus épanoui.
Départ




Résultat






