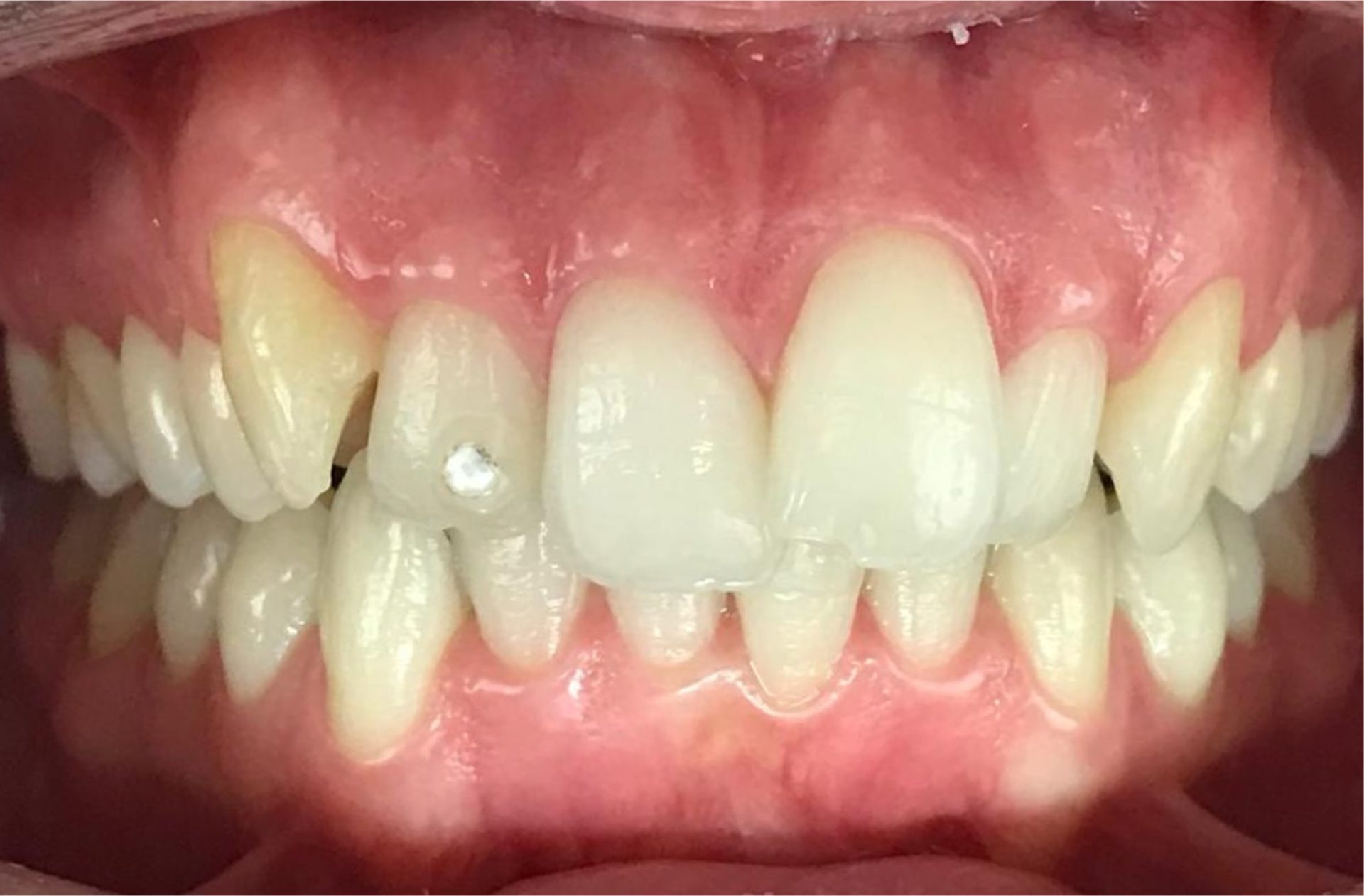
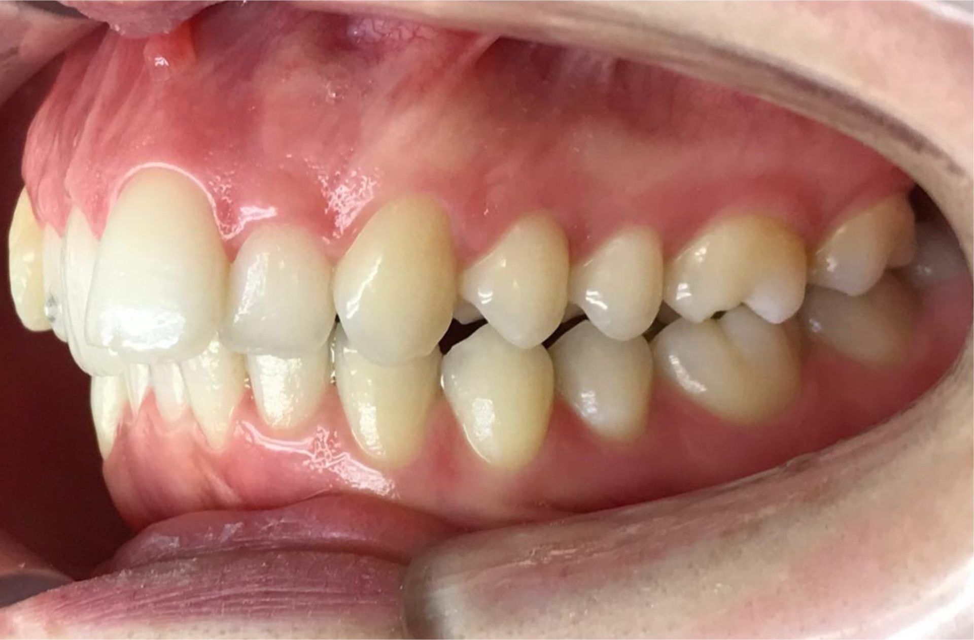
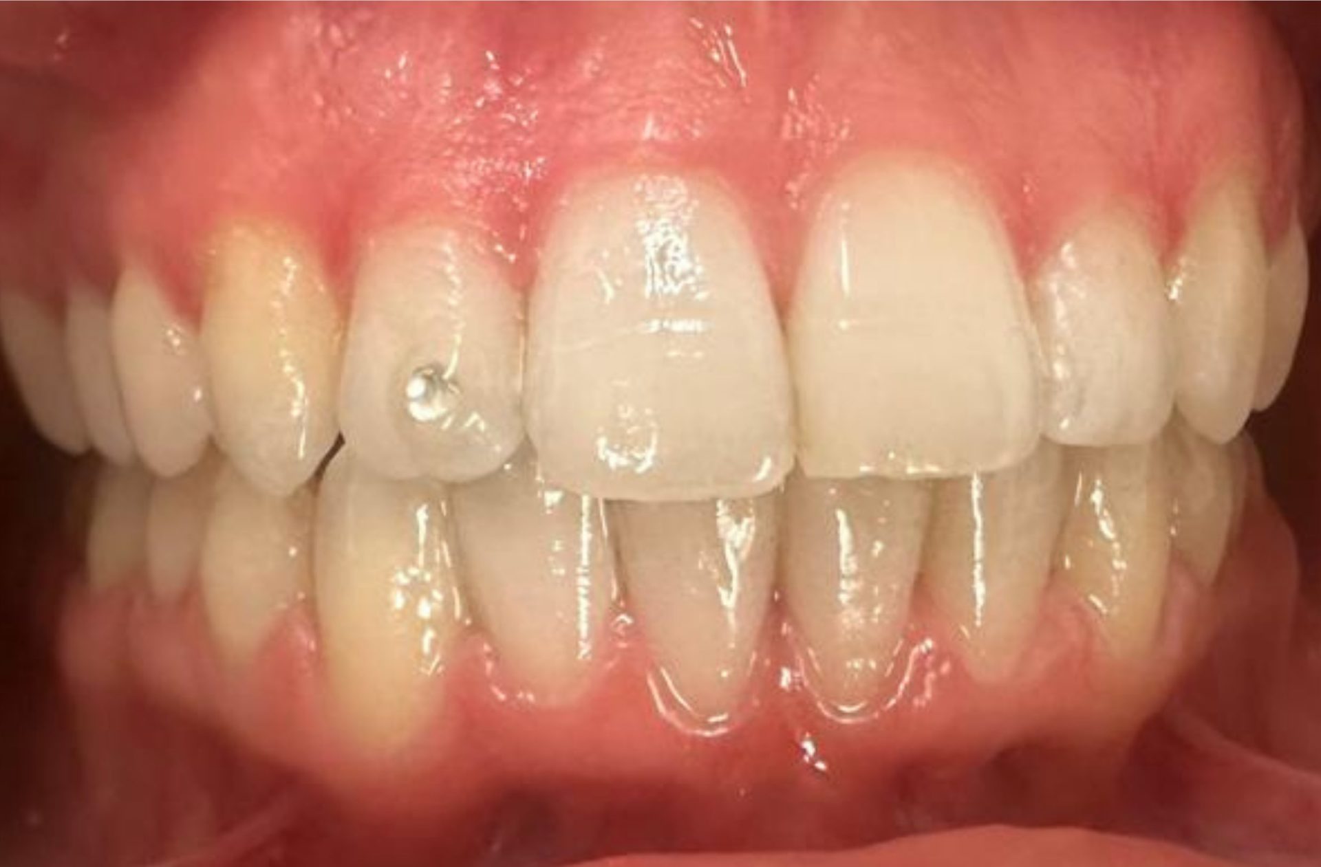
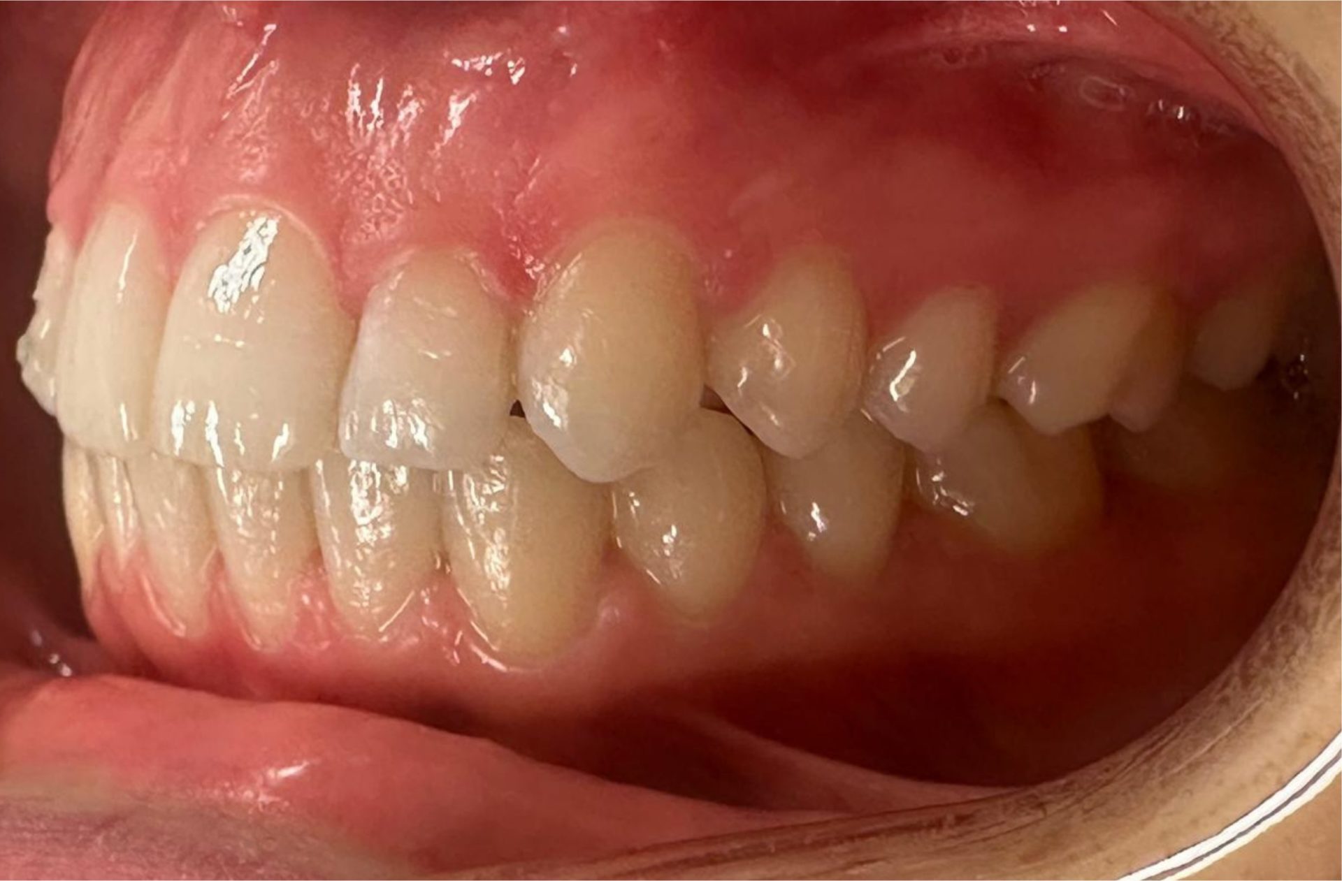
Cas 1 : Fanny – Classe II division 1
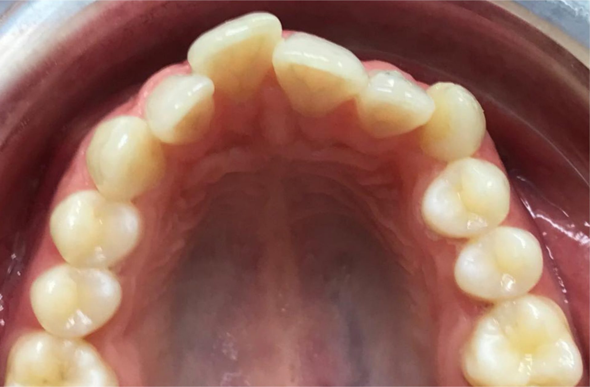
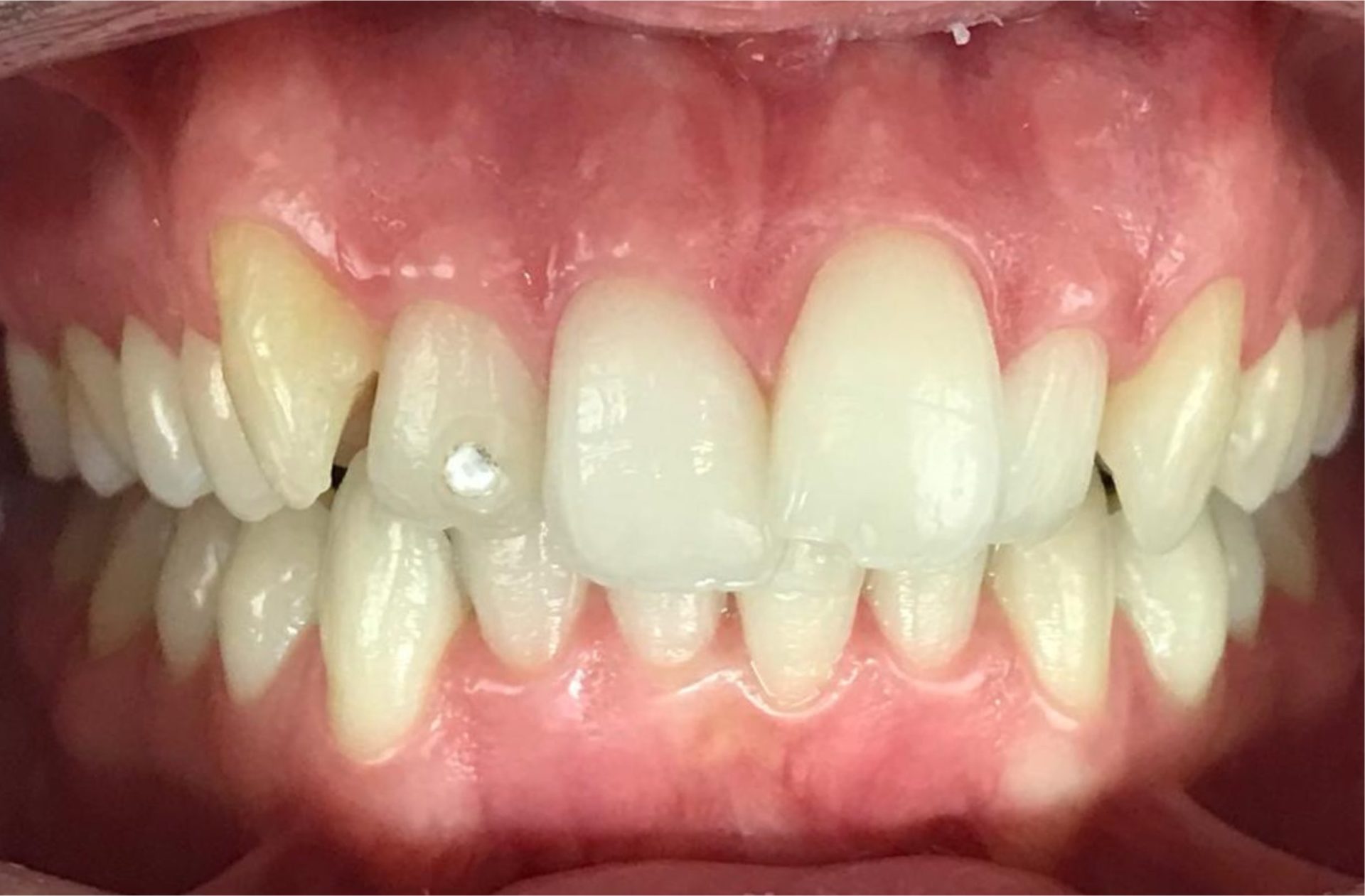
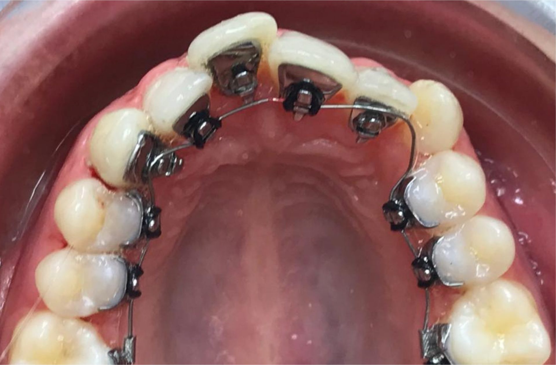
Fanny présentait une malocclusion de Classe II division 1, caractérisée par un encombrement dentaire au niveau des arcades maxillaire et mandibulaire. Ce type de désalignement, fréquemment observé en pratique orthodontique, compromet à la fois l’esthétique du sourire et l’efficacité fonctionnelle de la mastication.
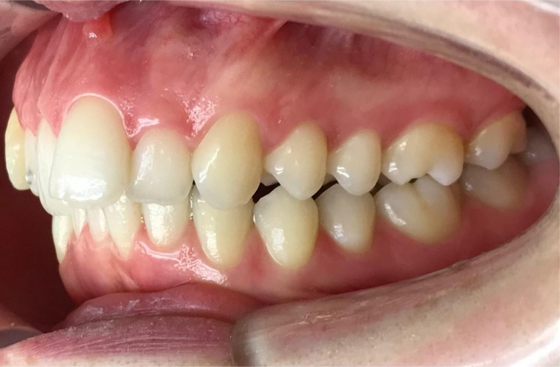
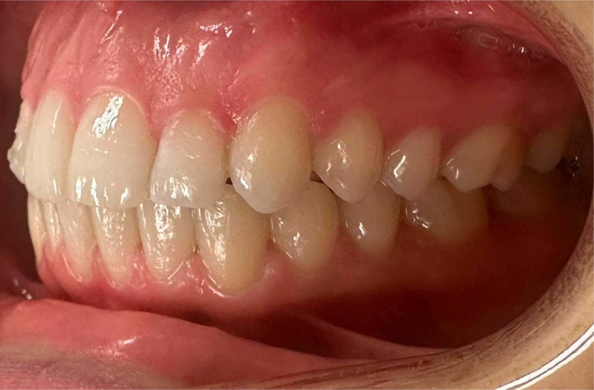
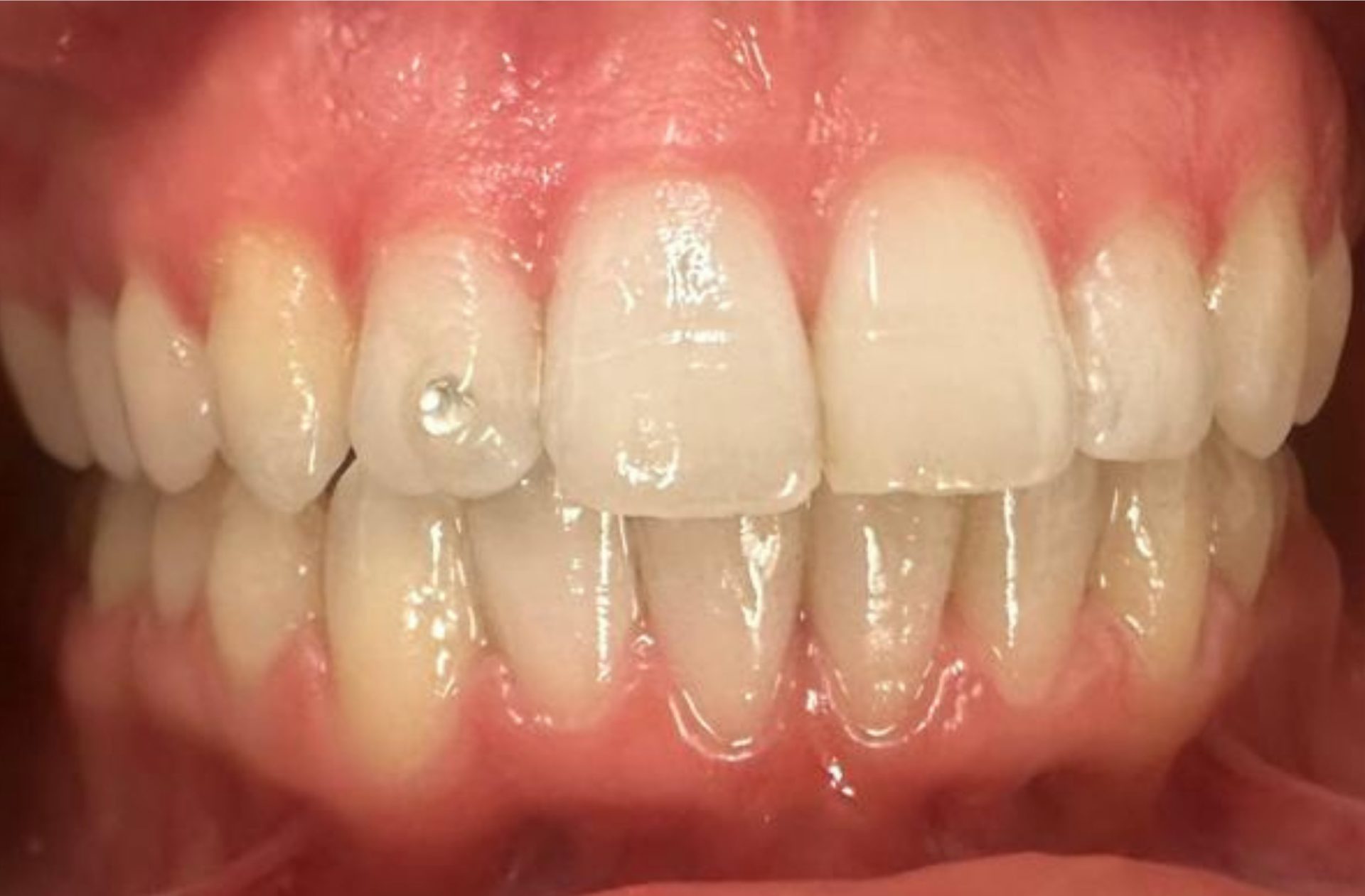
Le traitement orthodontique a permis non seulement d’obtenir un alignement dentaire harmonieux, mais également de restaurer l’équilibre intermaxillaire, assurant ainsi une occlusion stable et durable.
Le matériau rose visible sur certaines photographies correspond à une résine orthodontique utilisée comme appui temporaire afin de favoriser et contrôler la correction.
L’évolution du cas de Fanny illustre de manière exemplaire le rôle de l’orthodontie dans l’amélioration simultanée de la fonction occlusale et de l’esthétique faciale.
Départ



Début du traitement


Résultat





